お口の健康維持・管理
~治療と予防~
歯医者さんは”歯を治すだけ”のところではありません” お口から始まる全身への健康は広まりつつあります。お口から始まる健康だからこそ、ふくい歯科医院では、治療が終わった後からが本当のお口の健康の始まりだと考えています。ですので、小さなお子様から、ご年配の患者様、お子様連れの保護者の方等、多くの層に優しいと思って頂ける歯科医院作りを工夫しております。

急に歯が痛み出したり何か違和感を感じる症状も、日頃から信頼できる歯医者さんに行けば、なぜか安心して症状がマシになる。そんな経験をしたことはございませんか?
ふくい歯科医院では、多くの患者様にそう思って頂けるような地域のかかりつけ医として丁寧な説明をはじめ、出来るだけ痛くない治療を心がけ、患者様に思いやりを持って、いつも笑顔で接していきます。

患者さんへ分かりやすい説明を
歯医者さんで治療してもらう事は、患者さんにとって分からない治療内容だけに大きな不安があると考えています。どこの歯科医院でも説明も治療もきちんとされますが、当歯科医院では、より分かりやすく納得してもらいたいという想いから
チェアーの前に大きなモニターを設置し、こちらでレントゲンなどの説明をさせて頂きます。これなら、しっかりと悪いところが表示されます。また、何か質問があっても、患者さんも言いやすいと考えております。
ふくい歯科医院の特徴
~安心・安全・リラックス~
特徴1:お口から分かるシグナルを見逃しません

お口には様々な病気のシグナルが隠れています。例えば、歯科医院で撮影するエックス線写真にも多くの情報が含まれています。中には、全身の病気に関わる情報が隠されている場合があります。これを可能な限り早期に発見し対処することによって、口腔の健康管理に役立てていきます。
特徴2:安心・安全の歯科医療設備を設置

当歯科医院では、患者様に安心で安全に治療を受けて頂ける様に、歯科治療器具の滅菌・消毒をはじめ、あらゆる器具の徹底した衛生管理を行っています。また、リラックスできる歯科用診療チェアーを導入したり、最新の歯科用CTレントゲンを設置しています。 そうすることでお口の小さな病気のシグナルにも気づきやすくなります。
特徴3:心地よい歯科医院つくり力

当歯科医院では、来て頂ける患者様に精一杯の心地よさを提供します。来院時には広い駐車場を完備し、歯科医院内は車いすの患者様や足腰の弱い方にも安心のバリアフリーです。また、入り口にも風除室を設け、夏場の暑さや冬場の寒さにも配慮。待合室の天井は高く、診療室も広い等という小さな心地よさを患者様に提供しています。
診療機器のご紹介

歯科チェアー
診療チェアーは、それぞれレザー色を変えていたり、チェアーの動き出しのスムーズさ、うがいし易さ等の患者さんに優しいチェアーを使用していますので、更にリラックスして治療を受けて頂けます。

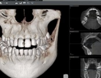
歯科専用CTレントゲン
CTレントゲンの中でも被ばく線量の低いレントゲンを採用。お口から分かる様々な体の健康サインを見逃さない綺麗な画質などが特徴の歯科用CTレントゲンで診断致します。

オートクレーブ
治療に使う小器具を、高圧滅菌するオートクレーブ機器を採用しています。安心・安全をモットーに患者様だけでなく従業員すべての、感染対策にも配慮しております。
初めてふくい歯科医院にお越しの患者様へ

ふくい歯科医院の来院時のご注意
保険診療を受けられる方は、必ず健康保険証の原本(コピー不可)をご持参くださいませ。保険証の確認ができない場合、保険診療での治療をお受けすることができかねますのでご了承ください。
※保険証は毎月確認させていただいております。その月の初回診察の際も必ず保険証を受付までご持参頂きますようお願い致します。
※保険適用外の自費診療も随時受け付けております。お気軽にご相談ください。
患者様へのお知らせ
当院は、以下施設基準を満たしています。
・歯科点数表の初診料の注1に規定する施設基準(歯初診)
当院では、患者様に安心して歯科医療を受けていただけるように院内感染防止対策を徹底しております。お口で使用する医療機器は、患者様ごとに交換し、専用機器での洗浄・滅菌処理を実施しています。
・歯科外来診療医療安全対策加算1(外安全1)
当院では、医療安全対策に関する研修を受けた歯科医師と医療安全管理者を配置し、医療安全の向上に努めています。また、緊急時の対応に備え、自動体外式除細動器(AED)を設置しており、迅速かつ適切な対応が可能な体制を整えています。
・歯科外来診療医療感染対策加算1(外感染1)
当院では、外来診療時の院内感染対策に関する研修を受けた歯科医師と院内感染管理者を配置し、感染防止対策に万全を期しています。標準予防策に基づき、十分な消毒・滅菌体制を整え、患者様とスタッフの安全を守るために徹底した感染防止措置をとっています。
・CAD/CAM冠及びCAD/CAMインレー(歯CAD)
当院では、歯科医師と歯科技工所が連携し、歯科補綴物の製作(印象採得、咬合採得、仮床試適など)を行っています。
・クラウン・ブリッジ維持管理料(補管)
当院では、歯冠補綴物やブリッジを装着した患者様に対し、維持管理に関する説明を行い、その内容を文書でお渡ししています。これにより、患者様がご自身でのケアを適切に行えるようサポートし、装着物の長期的な維持に努めます。
・ベースアップ加算1
当医院では、雇用している歯科衛生士、歯科技工士、歯科業務補助者(歯科助手)に対しベースアップ加算(ベースアップ評価料)を実施しております。現在、医療分野におけるサービス提供や人材確保に大きな影響を与えているためスタッフの給与アップなど働きやすい環境を少しでも整えることができます。
・院外処方
当医院は「処方箋」を交付して、患者様が自ら保険薬局に持参していただき、保険薬局(調剤薬局)でお薬を交付してもらっています。
・後発医薬品調剤体制加算について
当院では、後発医薬品のある医薬品について、特定の医薬品名(銘柄)ではなく、薬剤の成分をもとにした一般名処方(一般的な名称により処方箋を発行すること)を行う場合があり、2024年度診療報酬改定によって、2024年10月1日以降、長期収載されている医薬品(既に特許が切れている、または最審査期間が終了しており、同じ効能・効果を持つ後発医薬品が発売されている薬)について、診療費とは別に選定療養として、原則として医薬品の費用の一部をお支払いいただくことになりました。
以上、ご理解の程よろしくお願いいたします。

〒573-1115 枚方市東船橋2-150-1 ふくい歯科医院
京阪バス 東船橋バス停すぐ
